홍혜걸 박사 폐암 간유리 음영
홍혜걸 박사 폐암 투병
여에스더의 남편이자 의사 출신 기자로 알려진 홍혜걸이 폐암에 걸려 투병했다고 합니다. 2021년 6월에 알려진 것이 거의 9개월 이상이 지났습니다. 홍혜걸은 치료를 위해 제주로 내려가 휴양을 했다고 합니다. 하지만 아내인 여에스더는 엄밀하게 폐암은 아니라고 말했습니다. 대체 어떤 내용일까요?

홍혜걸은 2021년 6월 8일 자신의 페이스북에
"유상철 님이 췌장암으로 숨졌다. 고인의 명복을 빈다"
라고 올렸습니다. 또한 "많은 사람들을 한껏 행복하게 해 준 분이니 좋은 곳으로 가셨을 것"이라고 말했습니다. 그러면서 자신도 좌측 폐에 1.9cm의 간유리음이 있다고 밝혀 사람들을 놀라게 했습니다. 조직을 검사를 하면 백발백중 폐암이니 수술로 떼어내야 한다고 말했습니다.
“암은 누구도 피해갈 수 없다. 수명이 늘면서 세포도 늙고 손상당하기 때문이다.”
“미처 진단받지 못하고 죽는 경우를 포함하면 2명 중 1명이 일생에 한 번은 암에 걸린다고 봐야 한다”
“안타깝게도 암도 운이다”
“금연·절주·운동 등 아무리 노력해도 암의 3분의 2는 세포분열 과정에서 랜덤 그러니까 무작위로 생긴다. 암에 걸린 게 건강관리를 소홀해서 부모로부터 나쁜 유전자를 물려받아서가 아니란 뜻이다.”
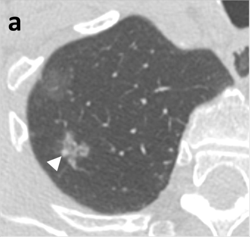
그렇다면 홍혜걸이 말한 간유리음이란 뭘까요?
간유리 음영이란 CT로 폐를 촬영할 경우 영상에 뿌옇게 유리를 갈아 뿌려 놓은 것 같은 모양을 하고 있다면 붙여진 이름입니다. 아직까지 어떻게 치료해야 할지에 대해 명확한 기준이 나와 있지 않습니다. 최근 연구 결과에 의하면 간유리 음영의 대부분이 조직검사 결과 암이었다고 합니다.


연세대 강남세브란스병원 흉부외과 이성수, 문덕환 교수 연구팀은 2012년 5월부터 2016년 12월까지 강남세브란스병원에서 폐암이 의심돼 수술받은 환자 중 순수 간유리 음영으로 진단된 36명, 44례를 분석한 결과, 침윤성 선암이 10례(22.7%), 최소침윤성 선암이 15례(34.1%), 제자리암종 18례(40.9%), 비정형샘종증식이 1례(2.3%)로 나타났다고 24일 밝혔다. 제자리암종은 암세포가 기저막을 침윤하지 않고 상피층 내에만 있어 0기암이라고도 불리는데, 제자리암종까지 포함할 경우 간유리 음영 결절의 97% 이상이 암이었다는 뜻이다. 비정형샘종증식도 폐암이 되기 직전의 병변이기 때문에 사실상 분석한 간유리음영 모두 암으로 볼 수 있다고 연구팀은 설명했다.
[출처 매일경제 폐의 간유리 음영, 이미 암일 가능성 높다]
하지만 여에스더는 폐암이 아니라고 밝혔습니다. 다른 자료에 의하면 우연히 발견된 간유리음영 결절 중 약 44%가 저절로 사라졌고, 저절로 사라진 간유리 음영 폐결절의 경우 소간을 생식하여 감염된 개회충에 의한 것임도 밝혀졌습니다.. 사라지지 않고 3개월 이상 계속될 경우 암으로 진행했다고 합니다. [출처 분당 서울대학교 병원]
우리가 간유리 음영을 모두 밝힐 수도 알 수도 없지만 잠깐 있다 사라질 경우 아무런 문제가 되지 않는 것이 확실합니다. 하지만 3개월 이상 지속된다면 암으로 발전될 가능성이 매우 높다는 것도 분명합니다.
폐암의 원인과 치료법
폐암의 원인과 치료법 폐암(lung cancer)이란 폐에 악성 종양이 생김으로 제 기능을 하지 못하는 것을 말한다. 폐암은 최초 암이 폐에서 발생한 원발성 폐암과 다른 장기에서 전이된 경우로 나뉜다.
e-safety.tistory.com
폐암에 좋은 음식 7가지
폐암에 좋은 음식 7가지 폐는 그 어떤 기관보다 중요합니다. 심장과 버금갈 만큼 중요합니다. 폐암은 예우가 좋지 않고 생활 자체가 힘듭니다. 그래서 폐암에 걸렸다면 극도로 조심해 생활해야
e-safety.tistory.com
댓글